先进技术
自然牙形设计确保初始稳定性
S.L.A表面处理技术经20多年验证
什么是
种植牙?
种植牙?
种植牙是目前最接近健康天然牙齿的修复方式。
现代种植牙技术已成功应用超过30年。
种植牙的优势
-
自然笑容与舒适体验 -
帮助预防和减少骨质流失 -
牙齿缺失的永久解决方案 -
不损伤邻近牙齿
DENTAL IMPLANTS
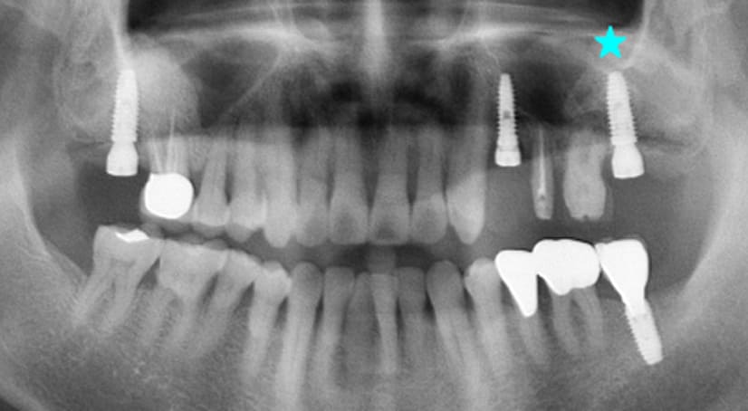
临床病例
临床并列
13+ 年
-
种植体植入:2012 年 9 月 -
最终修复体:2013 年 1 月 -
随访:13 年(2025 年 1 月)
13+ 年
-
种植体植入 2012年10月 -
最终修复体 2013年1月 -
随访:13年 2025年3月
9年以上
-
种植体植入 2012年10月 -
随访:2年 2014年7月 -
随访:9年 2021年9月
临床案例
-
术前 -
术后
-
术前 -
术后
-
术前 -
术后
-
术前 -
术后
-
术前 -
术后
-
术前 -
术后
关于种植牙的常见问题
-
种植牙手术需要多长时间?
平均而言,单颗或多颗牙齿的种植治疗总时间约为3~6个月。若需进行骨移植和/或拔牙,治疗时间可能延长4-6个月。
-
种植手术后疼痛正常吗?
手术后出现轻微疼痛、肿胀和不适属正常现象。手术后24-48小时内出现少量出血也较为常见。种植体部位应在手术后约2周内愈合。若患者在2周后仍感到疼痛或不适,请及时就诊以获取适当的解决方案并查明疼痛原因。.
-
种植手术后的饮食注意事项
手术后建议采用软食、避免咀嚼的饮食方式,持续10天至2周,以利于牙龈组织愈合。请咨询临床医生获取具体饮食计划或指导。
-
种植体能使用多久?
若能定期复诊并妥善维护,成功修复的种植牙可长期使用。
